Effect Of Kenikir Leaves Extract On Gastric Histology Description Of Male White Rats Induced By Aspirin
Main Article Content
Abstract
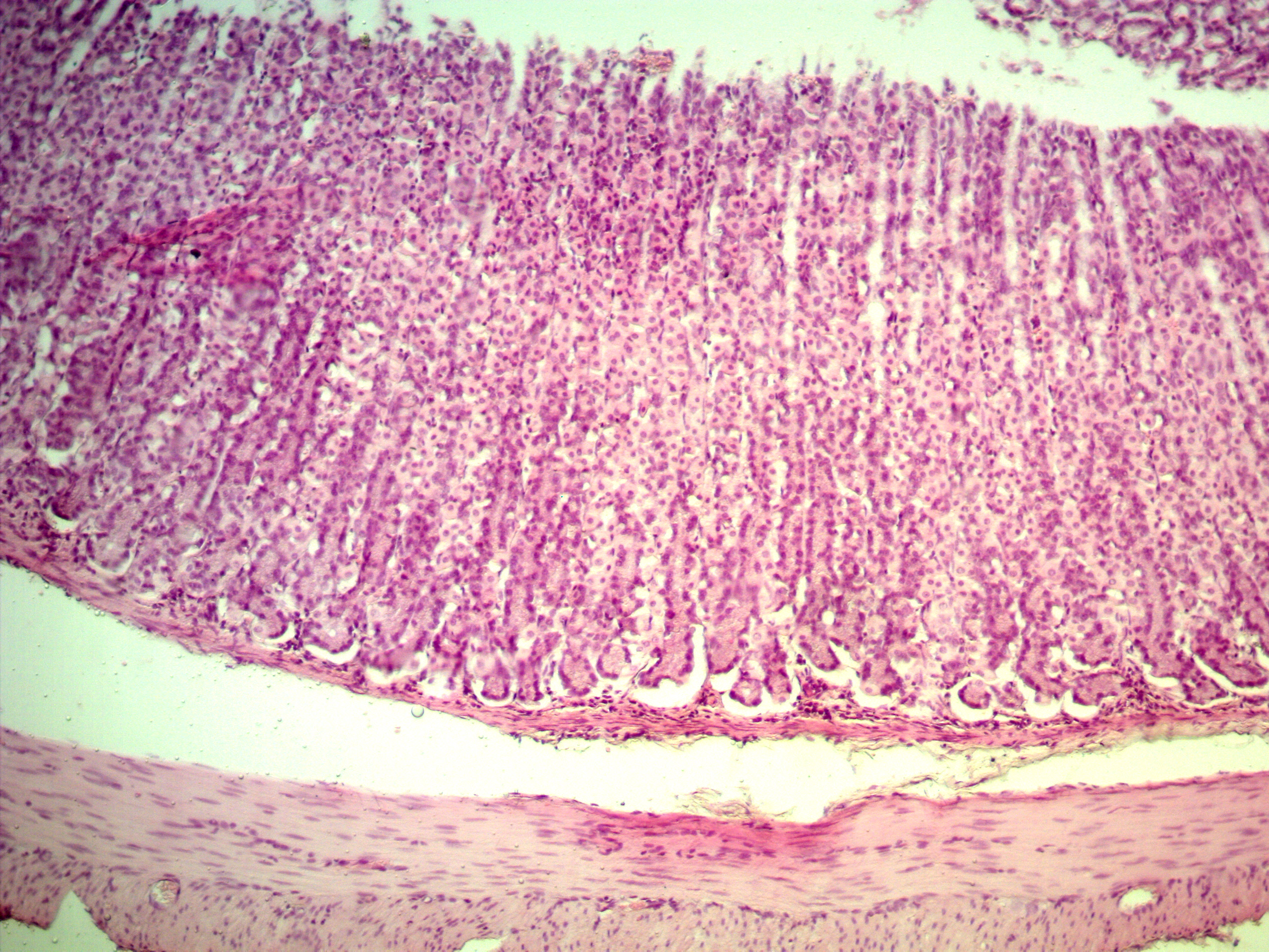
Using aspirin for long time make ulcer. Using traditional medicinal plants is alternative in treating gastric ulcers. This experiment aims to determine effect of kenikir leaves extract (Cosmos caudatus Kunth.) on gastric morphology and histology decription of male white rats (Rattus norvegicus) induced by aspirin. 25 rats were divided into 5 groups, KN (control), KP (aspirin 200 mg/kgBW for 10 days), P1 (aspirin 200 mg/kgBW for 10 days + kenikir leaves extract 700 mg/kgBW for 14 days). ), P2 (aspirin 200 mg/kgBW for 10 days + kenikir leaves extract 800 mg/kgBW for 14 days), P3(aspirin 200 mg/kgBW for 10 days+kenikir leaves extract 900 mg/kgBW for 14 days). Parameters observed were morphological and histological of the gastric. Data were analyzed by oneway ANOVA test and continued with Duncan's test. The results kenikir leaves did not have a significant effect on the morphology but histologically, kenikir leaves extract had a significant effect by improving the thickness of gastric layer. It can be concluded that kenikir leaves extract can be used as an alternative to treat gastric ulcers because it can improve the thickness of gastric layer.
Downloads
Article Details
The copyright of the received article shall be assigned to the journal as the publisher of the journal. The intended copyright includes the right to publish the article in various forms (including reprints). The journal maintains the publishing rights to the published articles. Authors are allowed to use their articles for any legal purposes deemed necessary without written permission from the journal with an acknowledgment of initial publication to this journal.
The work under license Creative Commons Attribution-ShareAlike 4.0 International License.
References
Andarwulan, Nuri, Ratna Batari, Dinny Agustini Sandrasari, Bardley Bolling, Hanny Wijaya. 2010. Flavoniod Content and Antioxidant Activity Of Vagetables From Indonesia. Food chemistry. Vol 121.
Vimala, G., & Gricilda Shoba, F. (2014). A Review on Antiulcer Activity of Few Indian Medicinal Plants. International Journal of Microbiology. 2014, 1-14. http://dx.doi.org/10.1155/2014/519590.
Lintong, Loho, Anggaran. (2013). Gambaran Histopatologik Lambung Tikus Wistar Setelah Diinduksi Aspirin. Jurnal Biomedik. 5(3), 38-45. https://doi.org/10.35790/jbm.5.1.2013.2044.
Mustaba, Winaya, dan Ketutberata. (2012). Studi Histopatologi Lambung pada Tikus Putih yang Diberi Madu sebagai Pencegah Ulkus Lambung yang Diinduksi Aspirin. Indonesia Medicus Veterinus. 1(4), 471-482.
Putri, Ramadani dan Maulida. (2019). Efek Gastroprotektif Ekstrak Etanol Daun Pepaya (Carica papaya L.) pada Tikus yang Diinduksi dengan Aspirin. EKSAKTA. 19 (02), 98-104. https://doi:10.20885/eksakta.vol19.iss2.art1.
Szabo, I.L., Cseko, K., Czemmer, J., dan Mozsik, G. (2013). Diagnosis of Gastritis-Review from Early Pathological Evaliation to Present Day Management. In Current Topics in Gastritis. 2012. 3-19. http://dx.doi.org/10.5772/5284.
Valkhoff VE., Sturkeboom MC., dan Kuipers EJ. (2012). Risk Factors for Gastrointestinal Bleeding Associated with Low-Dose Aspirin. Best Practice Resarch Clinical Gastroenterology. 26(2), 125-140. http://doi.org/10.1016/j.bpg.2012.01.011.
Wahyudi. 2018. Pengujian Efektivitas Ekstrak Etanol Daun Afrika (Vernonia Amygdalina Del.) Sebagai Obat Tukak Lambung Pada Tikus Jantan. Tesis.
Medan: Fakultas Farmasi USU.
Wijaya, Dwi S. (2017). Ekstrak Daun Sirsak Terhadap Ulkus Lambung. Journal of Holistic and Traditional Medecine. 1(4), 75-80.
